Fisiopatologia · P2 · UNINOVE · 4º período

Doenças Infecciosas do Pulmão

NIS — material de estudo para prática de macroscopia. Cada tópico tem caso clínico para você pensar primeiro, depois teoria com imagens reais dos slides e por fim flashcards + questões objetivas.

📋 Checklist para a aula de amanhã:
TÓPICO 1

Arquitetura e Defesa Pulmonar

Antes de ver doença, entenda o "terreno": zonas do pulmão e como ele se defende. Quando os mecanismos de defesa falham, surge a pneumonia.

Arquitetura das vias respiratórias Mecanismos de defesa pulmonar

Pontos-chave

Tríade ecológica da doença

Hospedeiro × Agente × Meio ambiente. Agente: infectividade, patogenicidade, virulência. Hospedeiro: suscetibilidade, imunidade. Meio: exposição, aglomeração, poluição.

Flashcards

Cite 3 defesas inespecíficas do pulmão
Tosse, aparelho mucociliar, macrófagos alveolares, IgA secretora, lisozima (qualquer 3).
Por que o tabagismo predispõe a pneumonia?
Destrói aparelho mucociliar, diminui fagocitose dos macrófagos e altera o epitélio.
Como infecções virais predispõem à pneumonia bacteriana?
Causam necrose epitelial e facilitam aderência bacteriana, além de prejudicar mucociliar.
TÓPICO 2 · CASO CLÍNICO 1

Pneumonia Lobar — S. pneumoniae

CASO 1

Homem, 46 anos, 5 dias de tosse produtiva em piora, dor torácica, mal-estar, mialgia, sudorese, cefaleia, febre alta e dispneia. Ao exame: FR 30 ipm, SpO₂ 89%, T 39 °C. RX de tórax: infiltrados em lobo direito. HMG: leucocitose. Internado, evolui com hipoxemia refratária → IOT + VM. Hemocultura: Streptococcus pneumoniae. Óbito em 2 dias apesar da VM com FiO₂ alta.

🤔 PENSE ANTES DE LER — Responda mentalmente:
  1. Qual a doença que levou ao óbito?
  2. Qual a via de entrada mais provável do agente?
  3. Como classificar a distribuição da lesão no parênquima?
  4. Qual o processo patológico específico?
  5. Quais as 4 fases macro/microscópicas da pneumonia lobar?
  6. Por que ele morreu mesmo com VM?
Macroscopia do caso 1 - consolidação lobar

Observe o RX: opacidade triangular em base direita (consolidação lobar) e a peça: hepatização cinzenta de um lobo inteiro.

Distribuição da lesão — 3 padrões

Pneumonia lobar vs broncopneumonia vs abscesso

Classificação geral da pneumonia

Classificação de pneumonias

Agudas bacterianas (típicas, PAC ou nosocomial) → lobar ou broncopneumonia. Virais/Mycoplasma → atípicas, intersticiais. Crônicas → inflamação granulomatosa (ex. TB).

O agente: Streptococcus pneumoniae

S. pneumoniae Gram

As 4 fases da pneumonia lobar (MEMORIZE!)

Fases congestão e hepatização vermelha Fases hepatização cinzenta e resolução
  1. Congestão (1–2 dias): vasos alveolares ingurgitados, líquido de edema + poucos PMNs + bactérias. Lobo pesado, úmido, vermelho.
  2. Hepatização vermelha (2–4 dias): alvéolos repletos de PMNs, hemácias e fibrina → pulmão firme, vermelho, consistência de fígado. Pleurite serofibrinosa.
  3. Hepatização cinzenta (4–8 dias): hemácias se desintegram, permanece fibrina densa + PMNs + macrófagos. Pulmão firme, seco, acinzentado.
  4. Resolução (1–3 semanas): macrófagos digerem exsudato, restauração do alvéolo ou organização fibrosa se houver dano.
Macroscopia hepatização

Complicações

Abscesso, empiema (derrame purulento pleural), disseminação bacterêmica (endocardite, meningite, artrite), organização → fibrose.

Flashcards

Qual agente causa 90% das pneumonias lobares?
Streptococcus pneumoniae (pneumococo) — diplococo Gram+ em lanceta.
Sequência das 4 fases da pneumonia lobar?
Congestão → Hepatização vermelha → Hepatização cinzenta → Resolução.
Principal fator de virulência do pneumococo?
Cápsula polissacarídica (evasão da fagocitose) — alvo da vacina.
O que é hepatização vermelha?
Fase com alvéolos cheios de PMNs + hemácias + fibrina → pulmão com consistência de fígado, cor vermelha.
Por que a hepatização cinzenta fica cinza?
As hemácias se lisam; sobram fibrina densa + neutrófilos + macrófagos.
Pneumolisina faz o quê?
Exotoxina do pneumococo: paralisa cílios, lesiona alvéolos, age como TNF/IL-1 like (amplifica inflamação).

Questões objetivas

1. O paciente do Caso 1 evoluiu com hipoxemia refratária apesar de VM com FiO₂ alta. Qual o mecanismo fisiopatológico principal da hipoxemia?
a) Hipoventilação alveolar difusa
b) Shunt intrapulmonar — alvéolos consolidados perfundidos não ventilam
c) Limitação da difusão apenas
d) Diminuição da FiO₂ ambiente
✓ Consolidação alveolar = shunt verdadeiro → sangue passa por alvéolos sem trocar gás. Por isso não responde à FiO₂ alta.
2. Na autópsia, o lobo direito inteiro estava firme, vermelho, de consistência hepática. Qual a fase?
a) Congestão
b) Hepatização vermelha (2–4 dias)
c) Hepatização cinzenta
d) Resolução
✓ Vermelho + firme = PMNs + hemácias + fibrina. Se tivesse mais dias, teria virado cinza.
3. Qual fator de virulência do pneumococo explica a dificuldade em ser fagocitado?
a) Pneumolisina
b) Cápsula polissacarídica
c) IgA1 protease
d) Autolisina
✓ Cápsula = antifagocítica. Por isso a vacina é feita contra os antígenos capsulares.
4. Um paciente com pneumonia pneumocócica desenvolve derrame pleural que cresce e fica espesso, com pus franco na toracocentese. O diagnóstico é:
a) Derrame parapneumônico simples
b) Empiema
c) Hemotórax
d) Quilotórax
✓ Empiema = pus no espaço pleural. É complicação clássica e exige drenagem.
TÓPICO 3

Outros Agentes da Pneumonia Adquirida na Comunidade

Tabela de agentes bacterianos

Cola visual dos agentes

Patogênese do H. influenzae

Adesinas/pili + IgA1 protease + cápsula antifagocítica + LPS (ativa complemento, inflamação) + catalase/oxidase. Sorotipo b é o mais patogênico em crianças.

Flashcards

Pneumonia + escarro em geleia de groselha + alcoolista?
Klebsiella pneumoniae — Gram-, lobar mucoide, pode necrosar e abscedar.
Pneumonia em criança com otite média de repetição?
Haemophilus influenzae (tipo b) ou Moraxella catarrhalis.
Pneumonia pós-influenza com abscessos e empiema?
Staphylococcus aureus.
Pneumonia grave em paciente de torre de ar-condicionado?
Legionella pneumophila — aerossóis de água contaminada.

Questões objetivas

5. Homem, 58 anos, etilista crônico, interna com pneumonia lobar direita e escarro espesso, hemoptoico, "em geleia". Qual o agente mais provável?
a) S. pneumoniae
b) H. influenzae
c) Klebsiella pneumoniae
d) Legionella pneumophila
✓ Etilista + escarro em geleia de groselha = Klebsiella clássica.
TÓPICO 4 · CASO CLÍNICO 2

Pneumonia Nosocomial (PAH/PAVM)

CASO 2

Homem, 55 anos, doença arterial periférica, internado para revascularização por estenose da poplítea. No 3º dia pós-op surge dispneia, hipóxia e tosse produtiva. Ausculta: ↓MV em base direita. Leucócitos 11.000 (em subida). RX AP no leito: opacidades pulmonares. Óbito em 3 dias.

🤔 PENSE ANTES — Responda:
  1. Qual a via de entrada provável?
  2. Que tipo de pneumonia é essa (classificação)?
  3. Como distinguir PAH de PAVM?
  4. Quais os agentes mais prováveis?

Definições (DECORE!)

PAH vs PAVM

Agente clássico: Staphylococcus aureus

S. aureus Gram

Por que a pneumonia pós-operatória é tão grave?

Combinação de: repouso + dor → tosse ineficaz; atelectasia; microaspiração (principalmente se IOT); flora hospitalar multirresistente; imunossupressão pelo estresse cirúrgico.

Flashcards

Quanto tempo após a internação define PAH?
≥ 48 horas.
Diferença PAH precoce vs tardia?
Precoce (≤ 4º dia) — germes mais sensíveis. Tardia (≥ 5º dia) — multirresistentes.
Fator de virulência do S. aureus que lisa PMN?
PVL (Panton-Valentine leucocidina).
Três complicações típicas de pneumonia estafilocócica?
Abscessos, empiema e pneumatoceles.

Questões objetivas

6. Paciente intubado há 3 dias desenvolve febre, secreção purulenta traqueal e novo infiltrado. Qual a classificação correta?
a) PAC
b) PAH precoce (não VM)
c) PAVM precoce
d) Pneumonia atípica
✓ Intubado + 3 dias (48–72 h+) + novo infiltrado = PAVM. Como é antes do 5º dia: precoce.
7. Qual característica morfológica típica da pneumonia estafilocócica?
a) Consolidação lobar homogênea
b) Broncopneumonia com abscessos múltiplos
c) Infiltrado intersticial com padrão em vidro fosco
d) Granulomas caseosos
✓ S. aureus tende a broncopneumonia com necrose → abscessos.
TÓPICO 5 · CASO CLÍNICO 3

Pneumonia Atípica — Mycoplasma, Vírus

CASO 3

Mulher, 14 anos, tosse há 7 dias, febre e desconforto respiratório no dia anterior. Já teve 2 pneumonias. Internação: FR 50 ipm, FC 140 bpm, T 37 °C. Ausculta: estertores crepitantes à direita. RX: infiltrados difusos bilaterais. Em 24 h piora — TC: derrame pleural bilateral e aumento dos infiltrados. Sorologia M. pneumoniae positiva + aglutininas frias +. Óbito em 1 dia.

🤔 PENSE — O que chama atenção?
  1. Por que "atípica"?
  2. Por que o padrão radiológico é difuso e bilateral, diferente da lobar?
  3. O que são aglutininas frias?
  4. Por que a ausculta é "pobre" em relação à imagem ("silent chest sign")?
Pneumonia atípica - macro e micro Agentes atípicos

Características das atípicas

Agentes

Influenza e SARS-CoV-2

Influenza A SARS-CoV-2

Flashcards

Por que β-lactâmicos não funcionam em Mycoplasma?
Ele não tem parede celular. Usa-se macrolídeo, tetraciclina ou quinolona.
Aglutininas frias aparecem em qual pneumonia?
Mycoplasma pneumoniae (IgM que aglutina hemácias em baixas temperaturas).
Qual receptor o SARS-CoV-2 usa para entrar na célula?
ECA-2 (enzima conversora de angiotensina 2).
Padrão histológico das pneumonias atípicas?
Pneumonia intersticial — infiltrado linfocítico nos septos alveolares, alvéolos relativamente poupados.
Por que influenza predispõe a S. aureus/pneumococo?
Destrói epitélio mucociliar → perda da defesa primária → superinfecção bacteriana.

Questões objetivas

8. A paciente do Caso 3 apresentou dissociação clínico-radiológica. Isso é típico de:
a) Pneumonia lobar pneumocócica
b) Pneumonia atípica/intersticial
c) Empiema
d) Abscesso pulmonar
✓ Nas atípicas, o processo é intersticial → ausculta pobre, mas RX com infiltrados difusos.
9. Qual a razão histológica do padrão "em vidro fosco" nas pneumonias virais?
a) Consolidação alveolar com PMNs e fibrina
b) Inflamação do septo alveolar (interstício) com linfócitos, preservando o alvéolo
c) Granulomas caseosos
d) Necrose liquefativa
✓ O vidro fosco reflete espessamento intersticial com alvéolos relativamente aerados.
10. Paciente jovem com influenza A evolui, após 7 dias de melhora, com súbita piora, febre alta, escarro purulento. Hipótese mais provável?
a) Recaída da influenza
b) Pneumonia bacteriana secundária (S. aureus ou pneumococo)
c) TEP
d) Reação medicamentosa
✓ Padrão bifásico clássico: influenza → destruição mucociliar → superinfecção bacteriana.
TÓPICO 6 · CASO CLÍNICO 4

Tuberculose

CASO 4

Homem, 89 anos, perda ponderal de 12 kg em 4 anos. Na adolescência teve "problema no pulmão" não tratado. PA 123/72, T 37,2 °C, aspecto caquético e frágil. Óbito 2 dias após admissão. Autópsia: pulmões, baço, suprarrenais e rins com inúmeros pequenos granulomas. Cultura pulmonar: M. tuberculosis +.

🤔 PENSE — Raciocínio de TB:
  1. Primária ou secundária?
  2. Progressiva ou miliar?
  3. Como ocorreu a disseminação extrapulmonar?
  4. Qual citocina é essencial para ativar macrófagos e conter bacilos?
  5. Por que o idoso descompensou agora?
Tuberculose - cascata infecciosa

O agente: Mycobacterium tuberculosis

História natural — primoinfecção

A grande maioria é assintomática. Apenas ~5% evoluem clinicamente. Fases:

  1. Exsudativa (<3 semanas): M. tuberculosis inibe maturação do macrófago e formação do fagolisossoma → neutrófilos liberam oxidantes/elastases → alveolite aguda exsudativa.
  2. Produtiva: resposta TH1 — células T apresentam antígenos, liberam IFN-γ → ativa macrófagos; IL-12, TNF. Macrófagos viram histiócitos epitelióides e formam granuloma.
  3. Produtivo-caseosa: macrófagos + linfócitos T → necrose caseosa central do granuloma → morte dos bacilos.
  4. Cicatrização: fibrocalcificação do granuloma → cura com latência.
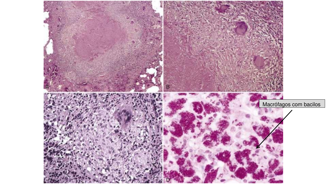
Primoinfecção produtiva micro Granulomas com bacilos

Macroscopia clássica da TB primária

Complexo de Ghon e Ranke

TB secundária (pós-primária)

TB secundária cavitária

TB miliar (do Caso 4)

TB miliar pulmão e micro Macroscopia TB miliar diversos órgãos

Clínica e diagnóstico

Ziehl-Neelsen diagnóstico

Clínica: mal-estar, febre, perda de peso, anorexia, sudorese noturna, tosse crônica com escarro/hemoptise. Diagnóstico: história + clínica + RX + baciloscopia (Ziehl-Neelsen BAAR) + cultura (2–3 semanas) + PCR (GeneXpert).

Flashcards

Qual coloração identifica BAAR?
Ziehl-Neelsen (bacilos álcool-ácido resistentes).
Qual citocina ativa macrófagos para conter o bacilo?
IFN-γ (secretado por Th1). Por isso anti-TNF também facilita reativação.
O que compõe o complexo de Ghon?
Foco parenquimatoso (nódulo de Ghon) + linfadenite hilar granulomatosa.
Diferença Ghon vs Ranke?
Ranke = complexo de Ghon calcificado (curado).
Por que TB secundária vai para ápice?
Maior PO₂ apical favorece o bacilo aeróbio obrigatório.
O que é TB miliar?
Disseminação hematogênica → numerosos pequenos granulomas ("grão de painço") em múltiplos órgãos.
Tipo de necrose do granuloma tuberculoso?
Necrose caseosa — aspecto de queijo, granular, eosinófila.
Células típicas do granuloma tuberculoso?
Histiócitos epitelióides + células gigantes de Langhans (núcleos em ferradura) + linfócitos T ao redor.
Sintomas clássicos de TB ativa?
Tosse > 3 semanas, febre vespertina, sudorese noturna, emagrecimento, hemoptise.

Questões objetivas

11. No Caso 4, a presença de granulomas em pulmão, baço, suprarrenais e rins indica:
a) TB primária típica
b) TB secundária cavitária
c) TB miliar (disseminação hematogênica sistêmica)
d) Sarcoidose
✓ Múltiplos pequenos granulomas em órgãos diversos = disseminação hematogênica = miliar.
12. Qual citocina é essencial para ativar macrófagos e torná-los capazes de destruir bacilos?
a) IL-1
b) IL-6
c) Interferon-gama (IFN-γ)
d) TNF
✓ IFN-γ da resposta Th1 é o mestre na ativação macrofágica. TNF também ajuda (por isso anti-TNF reativa TB).
13. Paciente com caverna em ápice pulmonar e hemoptise. Explicação fisiopatológica da hemoptise?
a) Edema alveolar
b) Erosão de vasos da parede da caverna (aneurismas de Rasmussen)
c) Vasculite leucocitoclástica
d) Coagulopatia
✓ A necrose caseosa + erosão vascular → aneurismas de Rasmussen → sangramento.
14. Qual o tipo de necrose que define histopatologicamente o granuloma tuberculoso?
a) Coagulativa
b) Liquefativa
c) Caseosa
d) Gordurosa
✓ Caseosa — aspecto macro de queijo, micro eosinofílica e granular, sem arquitetura residual.
TÓPICO 7

Pneumonias Oportunistas (Fungos)

Acometem imunossuprimidos: HIV, transplantados, quimioterapia, corticoide prolongado.

Histoplasma capsulatum

Principais agentes

Flashcards

Bola fúngica em caverna pulmonar?
Aspergiloma (Aspergillus fumigatus), tipicamente em caverna tuberculosa antiga.
Levedura encapsulada em HIV com meningite?
Cryptococcus neoformans — cápsula em tinta da China.
Fungo que mimetiza TB com calcificações?
Histoplasma capsulatum.
Pneumonia em HIV com CD4 < 200 e LDH alto?
Pneumocystis jirovecii (PCP/PjP).

Questões objetivas

15. HIV+ com CD4 = 120, dispneia progressiva, RX com infiltrado intersticial bilateral em asa de borboleta, LDH muito elevado. Agente?
a) M. tuberculosis
b) S. pneumoniae
c) Pneumocystis jirovecii
d) Aspergillus fumigatus
✓ Clássico de PCP: CD4 < 200, intersticial bilateral, LDH alto, dessaturação com esforço.
16. Paciente neutropênico pós-TMO, febre, hemoptise e nódulo pulmonar com halo de vidro fosco na TC. Agente e mecanismo?
a) Mycoplasma - parede ausente
b) Aspergillus invasivo - angioinvasão com infarto hemorrágico (halo sign)
c) Pneumococo - consolidação
d) Influenza
✓ "Halo sign" em neutropênico = aspergilose invasiva clássica.
REVISÃO FINAL

Quadro-síntese para fixar